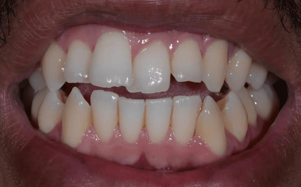
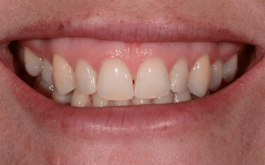
Before & After: Real Patients. Real Results.
See real Straights clear aligner results from UK patients. From crowding to gaps, our dentist-led treatment delivers safe and predictable smile transformations in as little as 2-4 months.
Sophie
12 Months Smile Transformation
David
12 Months Smile Transformation
Natalie
12 Months Smile Transformation
Peta
12 Months Smile Transformation
Simon
12 Months Smile Transformation
Katie
12 Months Smile Transformation
Sophie
12 Months Smile Transformation
David
12 Months Smile Transformation
Natalie
12 Months Smile Transformation
Peta
12 Months Smile Transformation
Simon
12 Months Smile Transformation
Katie
12 Months Smile Transformation
// Patient Stories
Hear From People Who Chose Straights
See real transformations and hear what Straights patients say about their treatment.
Best decision I've made for my smile
After years of being self-conscious about my teeth, I finally took the plunge with Straights. The clear aligners were so discreet that most people didn't even notice I was wearing them. Combined with the whitening treatment, my smile has completely transformed. The whole process was smooth and the team were incredibly supportive throughout.
Professional service from start to finish
I was impressed by how professional and knowledgeable the Straights team were. They explained everything clearly and the aligners fit perfectly. The whitening treatment gave me the confidence boost I needed for my wedding photos. Couldn't be happier!
Exceeded my expectations
I was skeptical at first, but Straights has completely exceeded my expectations. The aligners worked faster than I thought they would, and the whitening treatment has given me a Hollywood smile. Worth every penny!
Life-changing confidence boost
I've always hidden my smile in photos, but not anymore! The clear aligners straightened my teeth beautifully and the whitening made them sparkle. The customer service was excellent - always there to answer my questions.
Amazing transformation
I can't believe the difference! My teeth were quite crooked and stained from years of coffee. Now they're straight and white. The treatment was so much easier than I expected and nobody could tell I was wearing aligners.
Highly professional and effective
From the initial consultation to the final result, everything was handled professionally. The aligners were comfortable and the whitening treatment was pain-free. My confidence has soared since completing the treatment.
Perfect smile achieved
I've completed my treatment and I'm absolutely thrilled with the results. The aligners were barely visible and so comfortable I sometimes forgot I was wearing them. The whitening has given me the perfect finishing touch.
Couldn't ask for more
The whole experience with Straights has been fantastic. The team made me feel comfortable and confident throughout. My teeth are now straight and beautifully white. I actually look forward to smiling now!
Best investment in myself
I wish I'd done this years ago! The clear aligners were so discreet - perfect for my job where I meet clients daily. The whitening treatment has made such a difference. My smile has never looked better.
Exceptional results
The level of care and attention I received was outstanding. The aligners fit perfectly and the progress was tracked carefully throughout. The whitening gave me that extra confidence boost. Absolutely recommend Straights!
Outstanding service and results
From start to finish, the service was impeccable. The aligners worked brilliantly and were comfortable to wear. The whitening treatment was the icing on the cake. I'm so happy with my transformation!
My smile journey with Straights
I documented my whole journey and the transformation is incredible. The aligners were easy to use and maintain. The whitening made my teeth look healthy and bright. Thank you Straights for giving me my confidence back!
Fantastic treatment, fantastic results
I was nervous about starting aligner treatment but Straights made it so easy. The aligners were comfortable and the whitening was straightforward. My teeth look amazing now - straight, white, and healthy!
Couldn't be happier
The results have blown me away. My teeth were quite gapped before and now they're perfectly straight. The whitening treatment has made them gleam. Everyone has commented on how great my smile looks. Thank you Straights!

// About
Helping You Smile With Confidence
Our Straights dental team is with you every step of the way - from your very first consultation to the moment you see your final smile. At Straights, we make teeth straightening feel simple, safe and affordable. The results? A natural looking, confident smile that's tailored just for you!
// Journey
Your Journey To Your Dream Smile
Achieve a straighter smile in 3 simple steps:
1
Start With a Free Consultation
Get a FREE consultation to check your suitability and receive your personalised smile plan from our UK dental team.

2
Get Your 3D Scan
Visit a Straights dentist for a quick 3D scan and dental check. We create your digital plan and show you your future smile.

3
Begin Your Aligner Journey
Receive your custom aligners and start treatment with ongoing dentist support. See results in as little as 4–6 months.



Led by Our Clinical Director
Straights is clinically led by Dr Affan, whose experience in clear aligner treatment helps shape every patient journey.
- Years of experience delivering clear aligner treatment
- Extensive hands-on planning and case oversight
- Focused on safe, predictable tooth movement
- Committed to improving the aligner experience for patients
- Dentist-led treatment from consultation to completion
// Patients
Patient Stories

From First Aligners to Final Smile
Follow real Straights patients from their first consultation to their final results and see how our clear aligners transformed their confidence.

How Straights Fits Around Real Life
See how real patients straightened their teeth without putting life on hold by using our discreet aligners and expert support.
How Straights Fits Around Real Life
See how real patients straightened their teeth without putting life on hold by using our discreet aligners and expert support.

Real Results, Real Timeframes
Explore real Straights patient stories and see how long their treatment took. From mild crowding to more complex cases.
Real Results, Real Timeframes
Explore real Straights patient stories and see how long their treatment took. From mild crowding to more complex cases.
// Practices
Find Your Local Straights Dentist
Search our network of trusted, UK-registered dentists near you.
All Straights dentists are fully verified and UK-registered.
// Questions
Frequently asked questions

At Straights, my focus is on making sure aligner treatment is safe, predictable, and a genuinely positive experience for patients. Working closely with our clinical team means every treatment is carefully planned and supported throughout the journey.

Dr. Affan
Clinical Director
© 2026 STRAIGHTS · Straights Global Limited trading as STRAIGHTS · Registered in England & Wales: 15522777 ·
Registered Address: No. 2 Silkwood Office Park, Fryers Way, Wakefield, WF5 9TJ · ICO Data Protection No: ZB791851














